GIÀNH GIẬT SỰ SỐNG BỆNH NHÂN TRƯỚC ''NGƯỠNG CỬA TỬ THẦN'' NHỜ PHẪU THUẬT CẤP CỨU SỌ NÃO
Vừa qua, khoa CT - YHTT - Bệnh viện Đa khoa TTH Hà Tĩnh đã phẫu thuật vole lấy máu tụ nội sọ não để cứu bệnh nhân N.P.V (55 tuổi, Lưu Vĩnh Sơn, Thạch Hà, Hà Tĩnh) trong tình trạng ở nhà bị ngã, xuất hiện hôn mê.
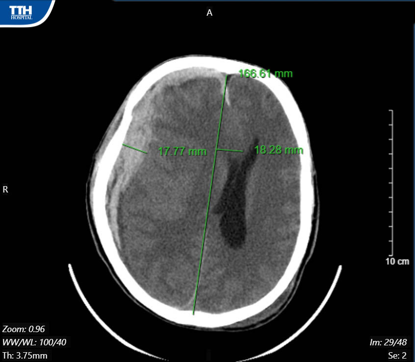
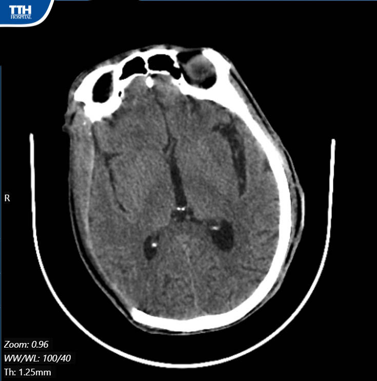
Bệnh nhân V vào viện trong tình trạng hôn mê, glasgow 6 điểm, liệt nửa người trái. Kết quả chụp cắt lớp vi tính phát hiện tụ máu dưới màng cứng bán cầu phải cấp tính độ dày 18 mm gây đè đẩy đường giữa 18 mm.


Ngay sau khi tiếp nhận bệnh nhân các Bác sĩ khoa CT - YHTT phối hợp với khoa HSCC - TNT, khoa Gây mê hồi sức nhận định: ''Đây là trường hợp rất nguy kịch cần cấp cứu tối khẩn cấp, bệnh nhân V xuất huyết nặng nề, chảy máu nhiều chèn ép nhu mô não, có nguy cơ gây tụt kẹt não cần phải có phương án xử trí để giải quyết được tổn thương tối ưu nhất''.

Sau khi hội chẩn, các Bác sĩ khoa CT – YHTT quyết định phẫu thuật vole sọ lấy máu tụ, giải tỏa não. Kíp mổ do BSCKI Phan Duy Đán – Phẫu thuật viên khoa CT – YHTT cùng ekip thực hiện. Ca phẫu thuật kéo dài gần 2 tiếng căng thẳng đã diễn ra suôn sẻ, thuận lợi. Sau 1 tuần theo dõi, điều trị tích cực, sức khỏe bệnh nhân đã hồi phục nhiều, hiện bệnh nhân tỉnh táo, hết liệt tay chân, vết mổ ổn ổn định và có thể xuất viện trong vài ngày tới.

BSCKI Phan Duy Đán – Bác sĩ điều trị khoa CT – YHTT cho biết: “Trường hợp bệnh nhân V phức tạp do khối máu tụ rất lớn gây chèn ép nhiều, bệnh nhân được đưa đến Bệnh viện trong tình trạng hôn mê sâu. Trước bệnh cảnh nặng nề như vậy, chúng tôi đã quyết định phẫu thuật ngay. Đây là hướng xử trí tối ưu và khả thi nhất, vừa giải quyết được tình trạng chèn ép não cấp tính, giúp người bệnh mau phục hồi, nâng cao hơn chất lượng cuộc sống về sau. Dù tiên lượng đây là ca mổ khó, tỷ lệ tử vong và di chứng cao, song với 100% nỗ lực của đội ngũ phẫu thuật viên, bệnh nhân đã phục hồi ngoài mong đợi''.
Với những phẫu thuật khó như phẫu thuật sọ não Bệnh viện Đa khoa TTH Hà Tĩnh đã thực hiện một cách thường quy. Qua đó cũng mong muốn gửi gắm khách hàng trong và ngoài tỉnh yên tâm khi đến điều trị tại Bệnh viện Đa khoa TTH Hà Tĩnh.
Mọi thắc mắc hoặc có bất kỳ câu hỏi nào cần được giải đáp, Quý khách vui lòng liên hệ Hotline: 0911 92 91 92 hoặc để lại thông tin bên dưới để được tư vấn và giải đáp miễn phí.
BỆNH VIỆN ĐA KHOA TTH HÀ TĨNH
💙Vì sức khỏe và nụ cười của bạn💙
📞 0911 92 91 92
🏥 Số 01 đường Ngô Quyền, TP. Hà Tĩnh