TTH HÀ TĨNH LÀM CHỦ KỸ THUẬT ''THÁO PHƯƠNG TIỆN KẾT HỢP XƯƠNG PHỨC TẠP''
1. Kỹ thuật tháo phương tiện kết hợp xương là gì?
– Tháo phương tiện kết hợp xương là tháo ra các phương tiện cố định diện gãy xương khi tình trạng xương đã liền, thông thường là 6 tháng sau phẫu thuật kết hợp xương đối với vùng hàm mặt.
Vì sao phải phẫu thuật tháo phương tiện kết hợp xương?
✔️ Phương tiện kết hợp xương có thể là nguyên nhân gây ra tình trạng dị cảm, khó chịu cho bệnh nhân.
✔️ Phương tiện kết hợp xương có thể là nguyên nhân gây ra phản ứng dị ứng, nhiễm trùng, dò mủ, nhiễm trùng mô mềm, nhiễm trùng xương.
✔️ Bệnh nhân khi mang phương tiện kim loại trong cơ thể sẽ gặp khó khăn trong chẩn đoán và điều trị trong trường hợp cần chụp CT.
✔️ Khi phương tiện kết hợp xương để quá lâu sẽ dẫn đến tình trạng cal xương, gây khó khăn cho bác sỹ phẫu thuật khi tháo.
2. Chỉ định tháo phương tiện kết hợp xương được áp dụng khi nào?
✔️ Các phương tiện kết hợp xương tạm thời.
✔️ Tháo phương tiện được thực hiện sau phẫu thuật kết hợp xương 6 tháng.
✔️Các trường hợp phương tiện kết hợp xương có nguy cơ của sự ăn mòn, phản ứng dị ứng, tiêu xương,…
✔️Các tiêu chuẩn xuất phát từ phẫu thuật: sai lệch khớp cắn gây đau khó khăn trong ăn nhai, sinh hoạt, gãy phương tiện kết hợp xương gây nhiễm khuẩn, hoại tử vùng hàm mặt tại vị trí có phương tiện kết hợp xương.
3. TTH Hà Tĩnh làm chủ kỹ thuật tháo phương tiện kết hợp xương phức tạp
Sau mổ gãy xương một thời gian nhất định, nhiều trường hợp có chỉ định tháo phương tiện kết hợp xương.
Vừa qua, Bệnh viện Đa khoa TTH Hà Tĩnh tiếp nhận bệnh nhân H.Đ.H (47 tuổi, Hương Khê, Hà Tĩnh), bệnh nhân cho biết lý do nhập viện khoa Răng Hàm Mặt là vì: ‘‘Cách đây 15 tháng đã đến Bệnh viện Hữu Nghị Việt Đức mổ kết hợp xương vùng hàm mặt, trước khi ra viện các Bác sĩ phẫu thuật nói: khi nào tháo nẹp vít thì ra Hà Nội tháo chứ tuyến dưới không tháo được". Đã đến kỳ hạn tháo nẹp vít kết hợp xương, qua tìm hiểu và được người nhà giới thiệu nên tôi quyết định đến Bệnh viện Đa khoa TTH Hà Tĩnh để tháo’’.

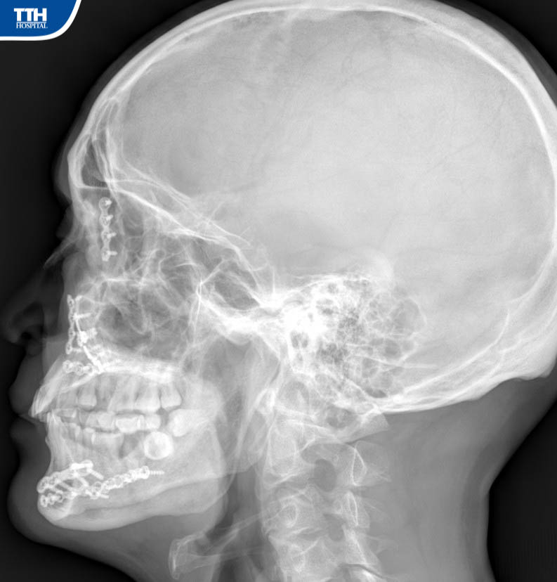
Theo BSCKI Trần Đức Hải – Khoa Răng Hàm Mặt Bệnh viện Đa khoa TTH Hà Tĩnh cho biết: ‘‘Ca phẫu thuật tháo phương tiện kết hợp xương phức tạp, gãy cả xương hàm trên trái và gãy xương hàm dưới 2 bên đòi hỏi kíp phẫu thuật có trình độ chuyên môn sâu về lĩnh vực hàm mặt, bởi gần như các đường rạch đều được dấu kín bằng đường trong miệng để tránh tạo sẹo ngoài da ’’.



‘‘Ca phẫu thuật diễn ra thuận lợi trong khoảng gần 90 phút. Sau phẫu thuật tháo phương tiện kết hợp xương hàm mặt, người bệnh hồi phục nhanh, từ ngày thứ 2 sau mổ. Sau 3 ngày, người bệnh có thể đi lại, sinh hoạt và xuất viện’’. Bs Hải cho biết thêm.

Sau phẫu thuật, bệnh nhân đã ổn định sức khỏe và có thể xuất viện trong vài ngày tới. Hiện nay, tại Khoa Răng Hàm Mặt - Bệnh viện Đa khoa TTH Hà Tĩnh phẫu thuật điều trị kết hợp xương tất cả các trường hợp gãy xương vùng hàm mặt từ đơn giản đến phức tạp nhất và đồng thời nhận tháo nẹp vít cho tất cả các trường hợp đã phẫu thuật tại đây cũng như phẫu thuật tại các Bệnh viện trên cả nước.
Với đội ngũ Bác sỹ giàu kinh nghiệm cùng trang thiết bị máy móc hiện đại, Chuyên khoa Răng Hàm Mặt - Bệnh viện Đa khoa TTH Hà Tĩnh đã và đang chăm sóc sức khỏe răng miệng cho rất nhiều người dân Hà Tĩnh và khu vực miền Trung.
Để biết thêm thông tin chi tiết hoặc có bất kỳ thắc mắc nào cần được giải đáp, quý khách hàng vui lòng gọi điện đến Hotline: 0911 92 91 92 hoặc để lại thông tin bên dưới để được giải đáp nhé./.
BỆNH VIỆN ĐA KHOA TTH HÀ TĨNH
💙Vì sức khỏe và nụ cười của bạn💙
📞 0911 92 91 92
🏥 Số 01 đường Ngô Quyền, TP. Hà Tĩnh