ĐỘT PHÁ THAY KHỚP HÁNG VỚI KỸ THUẬT SUPERPATH - NGÀY THỨ 2 SAU MỔ ĐI LẠI GẦN NHƯ BÌNH THƯỜNG
SuperPath là một trong những kỹ thuật thay khớp háng tiên tiến nhất hiện nay, người bệnh có thể đi lại bằng khung tập đi chỉ một ngày sau phẫu thuật và sau mổ bệnh nhân không phải hạn chế bất kỳ động tác nào. Vừa qua, Bệnh viện Đa khoa TTH Hà Tĩnh vừa tiếp nhận bệnh nhân N.X.Q (49 tuổi, Nam Phúc Thăng, Cẩm Xuyên) trong tình trạng đau khớp háng phải, đau lưng đã lâu, nay đau nhiều kèm hạn chế vận động nên vào viện.

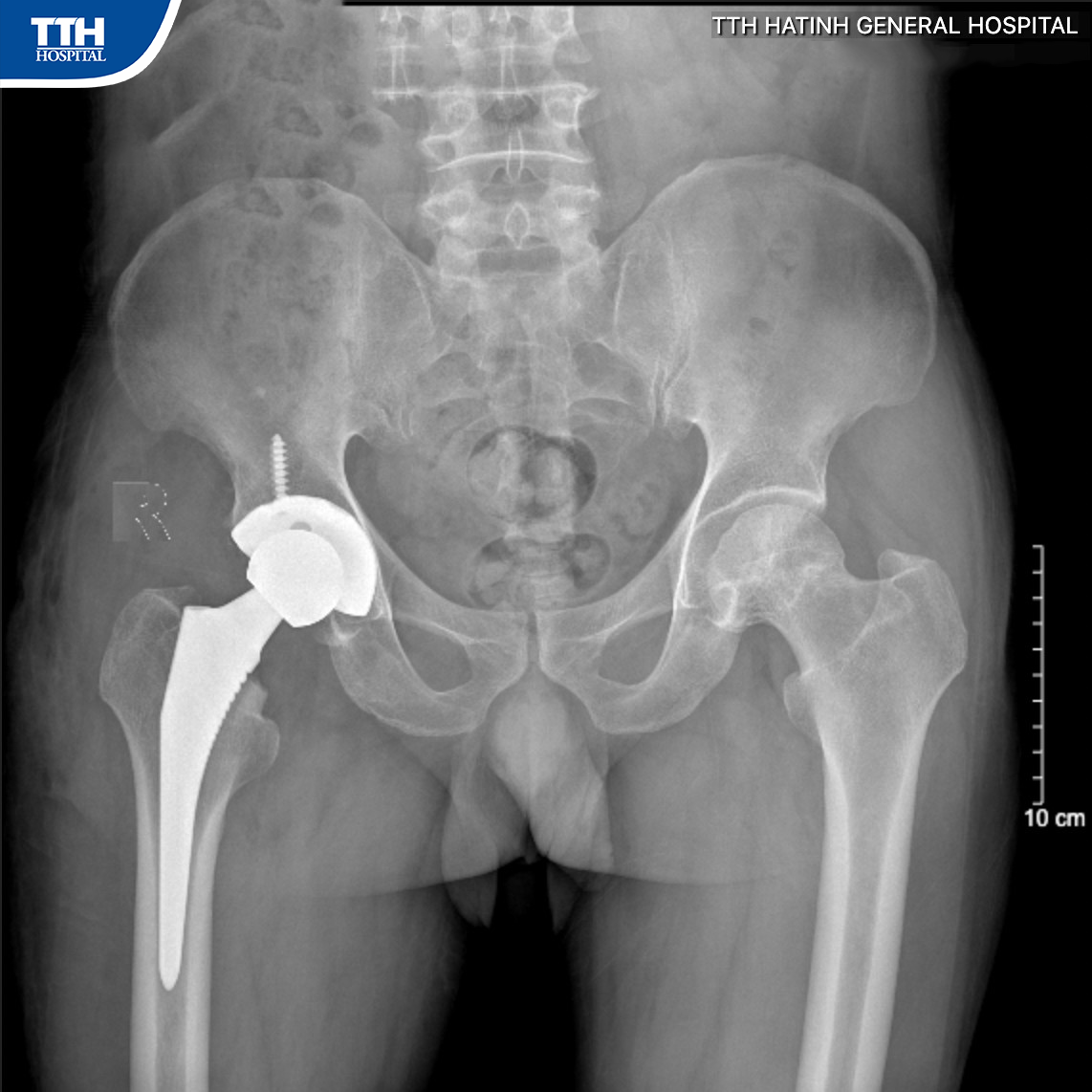
Sau khi thăm khám các chẩn đoán Cận lâm sàng được các Y Bác sĩ khoa CT– YHTT cho biết: ‘‘Bệnh nhân thoái hóa khớp háng bên phải và có chỉ định phẫu thuật thay khớp háng toàn phần. Ngay sau đó bệnh nhân được chỉ định phẫu thuật thay khớp háng bằng kỹ thuật SuperPath.

Ca phẫu thuật diễn ra thuận lợi trong khoảng 1 giờ 30’ phút. Sau phẫu thuật, người bệnh hồi phục nhanh, đứng dậy đi lại gần như bình thường từ ngày thứ 2 sau mổ. Sau 5 ngày, người bệnh có thể sinh hoạt bình thường, được phép ngồi xổm, ngồi khoanh chân cũng như ngồi bắt chéo chân và đã xuất viện’’.

Theo BSCKI Nguyễn Văn Trường – Phụ trách khoa CT - YHTT Bệnh viện Đa khoa TTH Hà Tĩnh là Bác sĩ trực tiếp phẫu thuật cho biết: ‘‘SuperPath được xem là một bước tiến vượt trội so với phương pháp phẫu thuật thay khớp háng truyền thống. Bao quanh khớp háng là nhóm cơ xoay ngoài chịu trách nhiệm giữ cho khớp háng vững chắc, không bị trật khớp trong quá trình vận động’’.


‘‘Nếu thay khớp háng theo phương pháp truyền thống thì buộc phải cắt bỏ nhóm cơ này, trong khi đó, với kỹ thuật SuperPath, Bác sĩ sẽ tiến hành bộc lộ phẫu trường và thay khớp háng mà không cần cắt cơ và bao khớp, bảo tồn được nhóm cơ xoay ngoài. Nhờ đó mà người bệnh có thể đi lại nhẹ nhàng ngay ngày đầu tiên sau phẫu thuật. Khi vết thương đã lành, người bệnh có thể thực hiện được các động tác cấm kỵ trong mổ thay khớp háng truyền thống như vắt chân chữ ngũ, ngồi xổm’’. Bác sĩ Trường cho biết thêm.
BỆNH VIỆN ĐA KHOA TTH HÀ TĨNH
💙Vì sức khỏe và nụ cười của bạn💙
📞 0911 92 91 92
🏥 Số 01 đường Ngô Quyền, TP. Hà Tĩnh