CỤ BÀ 79 TUỔI ĐƯỢC CÁC BÁC SĨ "CỨU LẤY ĐÔI CHÂN" SAU CÚ TRƯỢT NGÃ
Cụ bà N.T.L (79 tuổi), trú tại xã Thạch Hải, huyện Thạch Hà (Hà Tĩnh) bị ngã dẫn đến đau, hạn chế vận động, bàn chân đổ ra ngoài được người thân đưa vào cấp cứu tại khoa Chấn thương và Y học thể thao, Bệnh viện Đa khoa TTH Hà Tĩnh.

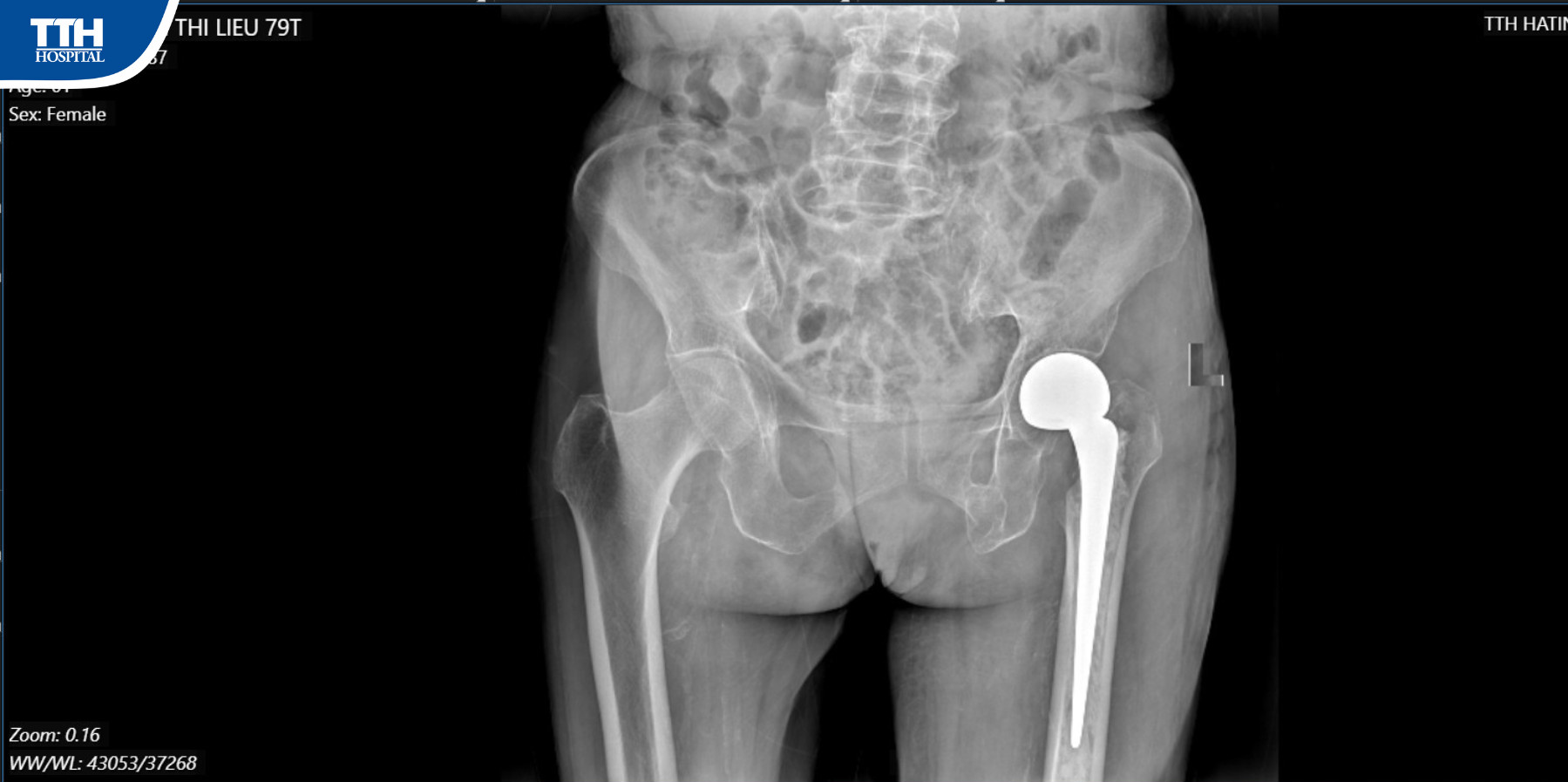
Sau khi thăm khám và làm các xét nghiệm cận lâm sàng, kết quả chụp MRI cho thấy bệnh nhân bị gãy liên mấu chuyển xương đùi trái cần phẫu thuật thay khớp háng nhân tạo.

Bác sĩ CKI Nguyễn Văn Trường-Trưởng khoa CT-YHTT cho biết: “Gãy cổ xương đùi là một tai nạn rất hay gặp ở người cao tuổi, chủ yếu là do ngã trượt chân trên nền cứng, ngã đập vùng hông xuống đất. Khi gãy xương gây đau đớn, không thể cử động chân, phải nằm yên một chỗ; nếu không được điều trị kịp thời có thể dẫn đến nhiều biến chứng nguy hiểm như loét da vùng lưng do tì đè, viêm phổi, nhiễm trùng tiểu…. có thể dẫn tới tử vong ở người già.

Điều trị gãy cổ xương đùi tùy thuộc vào loại gãy và độ tuổi bệnh nhân. Tuy nhiên, đối với người lớn tuổi và bị loãng xương, phương pháp hiệu quả nhất là thay khớp háng nhân tạo bán phần có xi măng”.
Sau 4 ngày phẫu thuật bệnh nhân đã đi lại được, tỉnh táo, ăn uống bình thường, bớt đau nhức và đã được các Bác sĩ hướng dẫn tập phục hồi chức năng.

Qua đây Bác sĩ khuyến cáo, với những bệnh nhân cao tuổi khi gặp các vấn đề về cơ xương khớp không nên tự điều trị tại nhà, mà nên sớm đưa đến bệnh viện để các Bác sĩ chuyên khoa khám xét và chỉ định điều trị thích hợp phòng tránh những biến chứng nguy hiểm có thể xảy ra.
BỆNH VIỆN ĐA KHOA TTH HÀ TĨNH
💙Vì sức khỏe và nụ cười của bạn💙
📞 0911 92 91 92
🏥 Số 01 đường Ngô Quyền, TP. Hà Tĩnh