BIẾN CHỨNG SỎI THẬN KHIẾN NỮ BỆNH NHÂN PHẢI CẮT BỎ HOÀN TOÀN THẬN PHẢI
Bệnh nhân Trần Thị Kim Hiền (64 tuổi) trú tại Thị trấn Phố Châu, Huyện Hương Sơn (Hà Tĩnh) có tiền sử sỏi thận phải cách đây 6 năm nhưng ít đau đớn nên hiểu lầm rằng tình trạng sỏi đã tốt lên mà không cần đến bệnh viện để thăm khám, nay xuất hiện tình trạng đau hố thắt lưng bên phải tăng dần, kèm theo tiểu buốt nên nhập viện khoa Ngoại Tổng hợp Bệnh viện Đa khoa TTH Hà Tĩnh để điều trị.

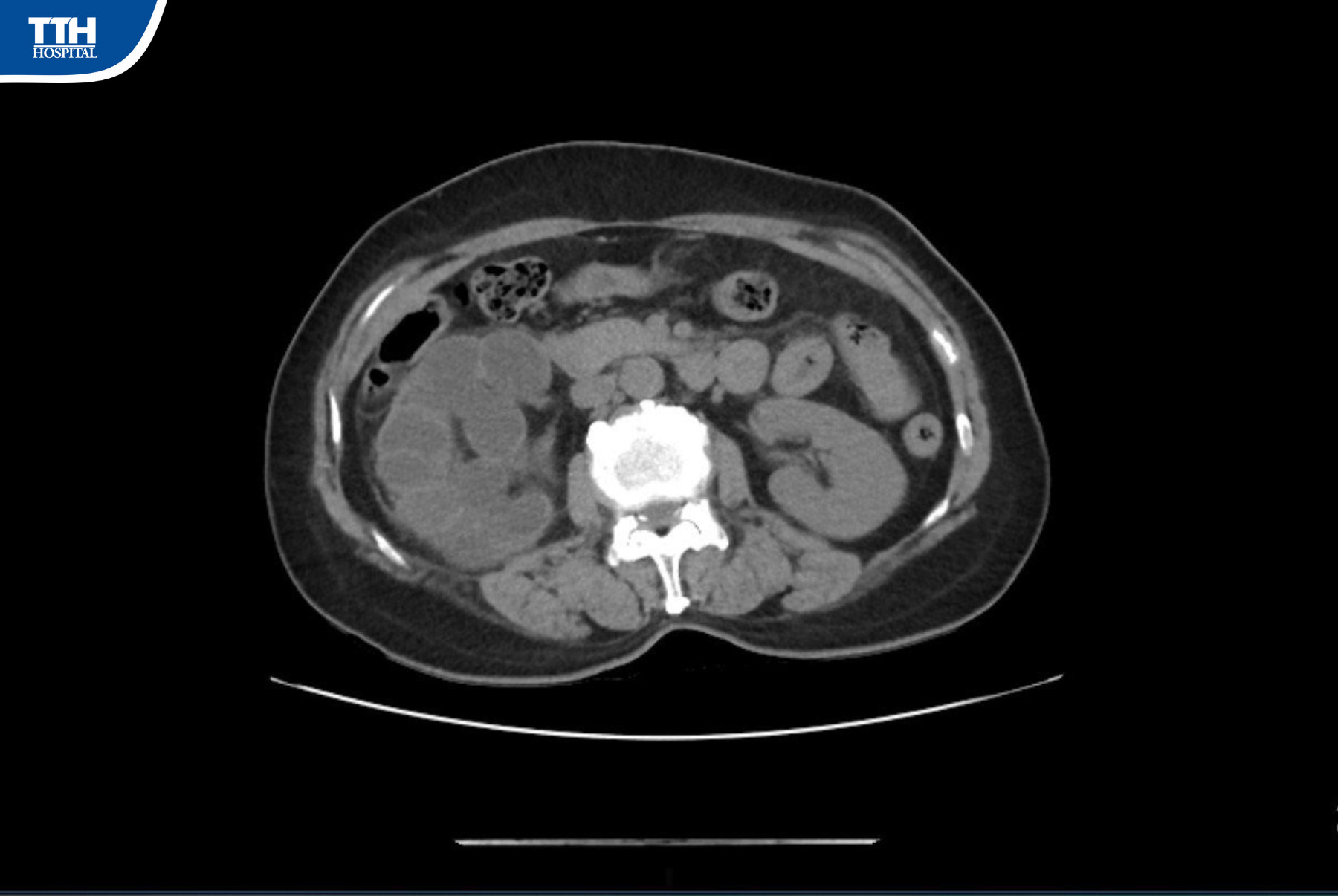
Sau khi tiếp nhận, bệnh nhân đã được làm các xét nghiệm cận lâm sàng. Kết quả xét nghiệm, siêu âm chụp cắt lớp vi tính và xạ hình thận cho thấy thận phải của bệnh nhân có viên sỏi lớn ở khúc nối bể thận niệu quản, thận giãn độ IV, chức năng thận dưới 10%.
Qua hội chẩn chuyên khoa, các bác sĩ khoa Ngoại Tổng hợp chẩn đoán thận phải của bệnh nhân mất chức năng gây nên tình trạng nhiễm khuẩn đường tiết niệu cần phải phẫu thuật nội soi cắt thận phải.

Theo Ths.Bs Nguyễn Trọng Đoàn cho biết: “Tình trạng của bệnh nhân Hiền là biến chứng đáng tiếc của bệnh lý sỏi thận, nếu phát hiện và xử lý sớm có thể cứu được một quả thận khỏe mạnh. Tuy nhiên, do bệnh nhân đến viện quá muộn, thận đã mất chức năng, nếu không can thiệp bệnh nhân sẽ đau đớn và chịu một số biến chứng nguy hiểm như nhiễm khuẩn đường tiết niệu, viêm thận ứ mủ, ... có thể nguy hiểm tính mạng.Trường hợp này chúng tôi đã tiến hành phẫu thuật nội soi cắt thận phải theo đường ổ bụng.

Đây là phẫu thuật khó được thực hiện tại thường quy Bệnh viện Đa khoa TTH Hà Tĩnh. Bác sĩ sẽ đưa dụng cụ phẫu thuật nội soi chuyên dụng vào ổ bụng bệnh nhân thông qua các trocar để tiếp cận, thắt bó mạch thận, niệu quản và cắt bỏ toàn bộ thận. Ca mổ kết thúc thành công tốt đẹp, hiện tại sức khỏe của bệnh nhân ổn định và đã được xuất viện”.

Việc ứng dụng thành công phẫu thuật nội soi cắt thận đã mang lại hiệu quả điều trị cao cho bệnh nhân, được bệnh viện xác định là một trong các kỹ thuật mũi nhọn của khoa Ngoại Tổng hợp. Trong thời gian tới, khoa Ngoại Tổng Hợp - Bệnh viện đa khoa TTH Hà Tĩnh sẽ không ngừng phát triển các kỹ thuật mới, phục vụ tốt công tác chăm sóc sức khỏe người dân.
Mọi thắc mắc quý khách hàng vui lòng nhắn tin qua fanpage Bệnh viện Đa khoa TTH Hà Tĩnh hoặc để lại thông tin bên dưới để được giải đáp và điều trị kịp thời.
BỆNH VIỆN ĐA KHOA TTH HÀ TĨNH
💙Vì sức khỏe và nụ cười của bạn💙
📞 0911 92 91 92
🏥 Số 01 đường Ngô Quyền, TP. Hà Tĩnh