Biến chứng do có răng khôn mọc lệch nhưng không nhổ
Răng khôn là răng mọc phía trong cùng của hàm ở người trưởng thành. Răng khôn không tham gia vào chức năng ăn nhai, khi mọc lại gây nên những tình trạng khó chịu như sưng viêm, giắt thức ăn… Có những trường hợp mọc lệch đâm vào răng bên cạnh gây sứt vỡ và viêm tủy, khi để lâu còn gây xô lệch cả hàm. Tuy nhiên, rất nhiều bạn sau khi đi thăm khám và biết được tình trạng răng khôn mọc không đúng vị trí, hoặc nhiều bạn thi thoảng gặp những triệu chứng của dấu hiệu răng mọc lệch, mọc ngầm,… nhưng chủ quan không đi thăm khám chủ quan không xử lý sớm, dẫn đến hàng loạt biến chứng như:
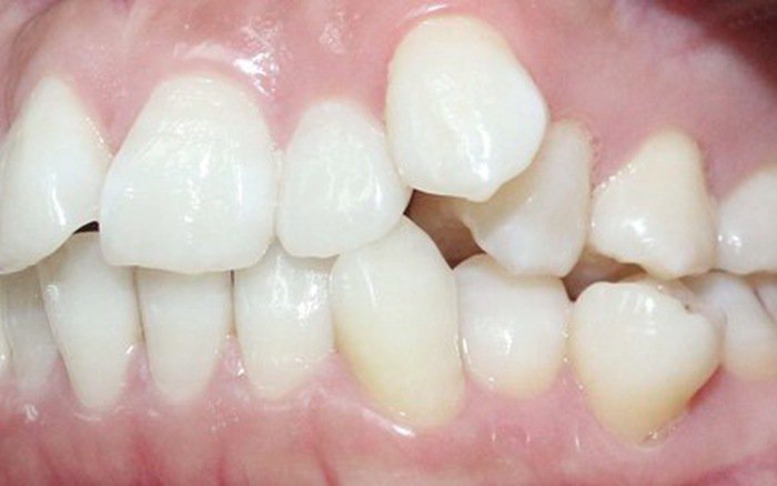
1. Gây xô lệch cả hàm
Mỗi người thông thường sẽ mọc 32 răng, trong đó 28 răng vĩnh viễn mọc hoàn chỉnh khi bạn 12 tuổi (có thể sớm hơn hoặc muộn hơn). Vì thế, khi 4 răng khôn cuối cùng bắt đầu lên mầm khoảng 6 năm sau đó thì hàm của bạn thường không còn đủ chỗ cho 4 răng này nữa. Do đó, răng khôn thường mọc kẹt trong xương (mọc ngầm), hoặc chỉ mọc lên được một phần (mọc lệch), …Phổ biến nhất vẫn là răng khôn mọc lệch, mọc ngầm về phía chân răng số 7, làm lung lay răng số 7, hoặc giắt thức ăn, gây sâu răng, viêm lợi,… Nghiêm trọng hơn nữa là răng số 8 mọc đâm vào thân răng số 7, gây áp lực lên cả hàm, dẫn đến tình trạng xô lệch, cực kỳ nghiêm trọng, ảnh hưởng đến ăn nhai và sức khỏe răng miệng về sau.

2. Viêm lợi, nhiễm trùng nướu
Do vị trí răng khôn mọc ở trong cùng của hàm nên rất khó vệ sinh, thường bị giắt thức ăn hoặc ứ đọng thức ăn, vi khuẩn dễ dàng tích tụ và sinh sôi nảy nở. Việc tích tụ sẽ gây sâu răng, viêm sưng vùng lợi xung quanh, hôi miệng,… Nếu tích tụ lâu ngày, bệnh viêm lợi sẽ tái phát nhiều lần và mức độ tăng dần nếu răng khôn không được chữa trị sớm dẫn đến nhiễm trùng sẽ lây lan sang các khu vực xung quanh như má, mang tai,… Nghiêm trọng hơn nếu tình trạng viêm tấy lan tỏa xảy ra thì còn có thể nguy hiểm đến tính mạng.

3. Gây u, nang xương hàm
Quá trình mọc răng khôn kéo dài hàng năm trời, mỗi năm, răng chỉ nhú lên một chút rồi không có bất kỳ dấu hiệu gì trong suốt một khoảng thời gian dài. Do răng khôn mọc lệch nên không thể mọc hoàn chỉnh, khiến cho răng rất dễ bị nhiễm trùng mãn tính. Hậu quả là việc hình thành nên khối u xương hàm và nang thân răng, khiến cho hàm bị tổn thường trầm trọng.
4. Rối loạn phản xạ và cảm giác
Đã có không ít trường hợp được các bác sĩ ghi nhận răng khôn mọc lệch, mọc ngầm đâm về phía bên trong hàm hoặc về phía má gây chèn ép dây thần kinh dẫn đến hiện tượng mất cảm giác ở môi, niêm mạc răng và ở da. Hiện tượng này ảnh hưởng trực tiếp đến việc ăn uống hàng ngày, bệnh nhân cảm thấy ăn không có khẩu vị, chán ăn, không cảm nhận được mùi vị thức ăn,… hay còn gọi là nhạt mồm nhạt miệng, ảnh hưởng rất lớn đến chất lượng cuộc sống và sức khỏe của bệnh nhân.
Vì vậy, đừng chủ quan với vấn đề răng khôn của mình, từ một chiếc răng khôn mọc sai vị trí dẫn đến rất nhiều biến chứng nguy hiểm.
BỆNH VIỆN ĐA KHOA TTH HÀ TĨNH
💙Vì sức khỏe và nụ cười của bạn💙
📞 0911 92 91 92
🏥 Số 01 đường Ngô Quyền, TP. Hà Tĩnh